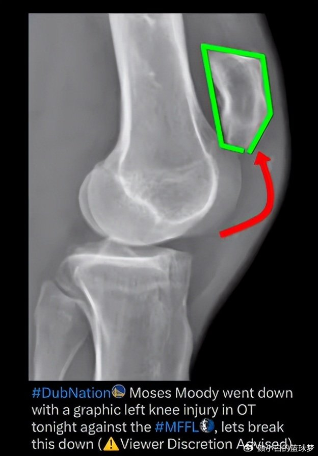
金州勇士队核心球员摩西-穆迪在常规赛期间遭遇严重伤病,经过专业医学检查确认其左膝髌腱出现撕裂伤势。据球队官方披露,这位年轻球员在对阵独行侠的比赛中,于加时赛最后58.5秒的快攻突破过程中意外受伤。尽管当时并未发生直接对抗,但突如其来的身体负荷导致肌腱损伤,最终需要接受手术治疗并彻底告别2025-2026赛季。

勇士队医疗团队通过核磁共振影像确认,穆迪的伤情属于髌腱部分撕裂,而非更严重的完全断裂。这一诊断结果对球员的康复前景具有关键意义。医学专家Brian Sutterer在播客中解析了伤情机制,指出当肌腱在离心收缩状态下突然承受向心收缩的极限负荷时,极易发生断裂。这种受伤模式与跟腱断裂的机制相似,但幸运的是穆迪的伤情尚未达到完全断裂的程度。

勇士球员摩西-穆迪左膝髌腱撕裂 将缺席25-26赛季

勇士队官方在公布伤情的同时,特意晒出穆迪与队友们击掌的合影。照片中球员们展现出的团队凝聚力,传递出全队对穆迪早日康复的期待。主教练史蒂夫-科尔在采访中强调,核磁共振检查显示软骨和骨骼均未受损,这为治疗方案的选择提供了积极依据。医疗团队表示,相比完全断裂的复杂手术,部分撕裂的修复过程相对简单,预计恢复周期在9-12个月。

医学界对髌腱损伤的分类具有重要临床意义。髌腱撕裂通常指部分纤维断裂,而完全断裂则意味着肌腱与骨附着点完全分离。这两种情况在治疗方案和康复周期上存在显著差异。根据专业医学资料,撕裂伤的手术难度较低,多数情况下可通过微创技术完成修复。而完全断裂往往需要更复杂的手术操作,部分病例甚至需要开放性手术。

勇士球员摩西-穆迪左膝髌腱撕裂 将缺席25-26赛季

从康复效果来看,髌腱撕裂的预后相对乐观。经过规范治疗和系统康复训练,绝大多数患者可以恢复正常的膝关节功能。但完全断裂的患者则面临更严峻的挑战,可能需要长达数月的康复期,且存在运动功能障碍的风险。勇士队医疗团队表示,穆迪的伤情属于较轻的撕裂类型,这为他的恢复提供了有利条件。

勇士队的伤病管理团队正在制定详细的康复计划。根据医学建议,穆迪将在手术后进入为期数周的康复阶段,重点恢复膝关节的稳定性与活动度。随后将逐步进行力量训练和运动功能恢复。医疗团队强调,科学的康复周期是确保球员重返赛场的关键,任何急于求成的训练都可能影响最终恢复效果。

勇士球员摩西-穆迪左膝髌腱撕裂 将缺席25-26赛季

这一伤病事件也引发对职业篮球运动员膝部防护的关注。专家建议,球员在高强度对抗中应加强膝关节稳定性训练,同时注意运动负荷的合理分配。勇士队教练组表示,全队将对训练计划进行调整,减少对年轻球员膝关节的过度使用,为未来的比赛做好充分准备。

勇士球员摩西-穆迪左膝髌腱撕裂 将缺席25-26赛季 勇士球员摩西-穆迪左膝髌腱撕裂 将缺席25-26赛季